Ձեր ժպիտը մեր հոգածության կենտրոնում է
Մեր կլինիկայում ստանում եք ժամանակակից բուժում՝ անհատական մոտեցմամբ

Արմինե Ավագյան
Ընտանեկան ստոմատոլոգ
01.
Թերապևտիկ ատամնաբուժություն
02.
Կոսմետիկ ատամնաբուժություն
03.
Ատամների սպիտակեցում

Կոմիտաս 15
Վերին Անտառային փ․, 136/1
+374 93 320 097
Մեր ծառայությունները
Ատամների մաքրում և փայլեցում
Մասնագիտական մաքրում՝ ատամնաքարերի և փառի հեռացմամբ։ Վերականգնում է բնական փայլն ու կանխում լնդերի հիվանդություններն ու խնդիրները։
Կարիեսի բուժում (պլոմբա)
Ատամների կարծր հյուսվածքների կարիեսային ախտահարման մաքրում՝ անատոմիական, ֆունկցիոնալ և էսթետիկ վերականգնմամբ։
Գործածվում է լավագույն կոմպոզիտային նյութեր։
Ատամի էսթետիկ վերականգնում (կոմպոզիտային վինիր)
Վերականգնվում է կոմպոզիտային նյութով՝ ապահովելով առավելագույն էսթետիկա։
Արմատախողովակների բուժում (ներվի հեռացում)՝ էնդոդոնտիա
Կատարվում է հատուկ ուշադրությամբ, խոշորացման տակ, տաք գուտապերչայի ուղղահայաց կոնդենսացիայի միջոցով։
Բորբոքված արմատախողովակների բուժում
Կոտրված գործիքների հեռացում արմատախողովակներից, տարբեր աստիճանի բորբոքված արմատախողովակների բուժում։
Ատամների հեռացում
Կոտրված ատամների, արմատների, իմաստության ատամների հեռացում։
Կաթնատամների հեռացում և բուժում
Կատարվում է անկախ տարիքից։
Մշտական չձևավորված արմատներով ատամների բուժում
Տրավմատիկ ատամների բուժում և հետագա վերականգնում։
Մշտական ատամների պրոֆիլակտիկ միջոցառում
Կատարվում է նոր ծկթած ատամների ծամիչ մակերեսների հերմետիզացիա, որը կանխում է կարիեսը։

Մեր Մոտեցումը
Անվճար կոնսուլտացիա
Ժամանակակից տեխնոլոգիաներ
Անցավ բուժում
Անհատական մոտեցում
Հաճախորդների բարձր գնահատականներ



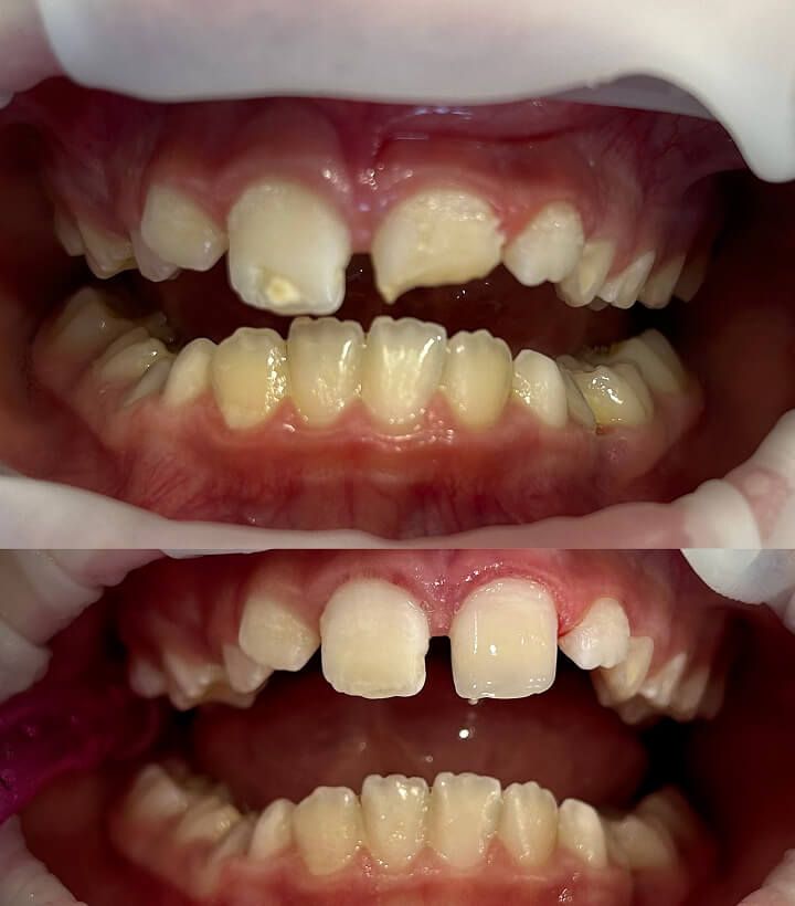
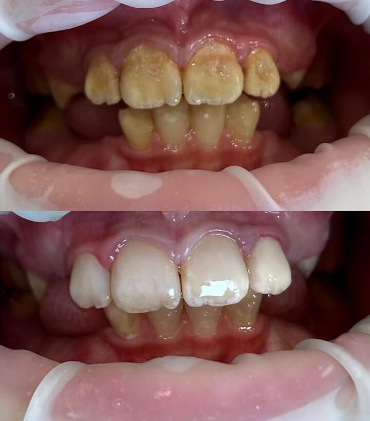
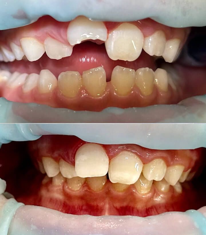
Մինչև / Հետո
Ինչպես ենք ապահովում
բուժման որակը
Մանրամասն ստուգում և ճշգրիտ ախտորոշում
Անհատական բուժման պլան
Բուժման ընթացքի բաց ու հասկանալի բացատրություն
Վերջնական ստուգում և վերահսկում
Հետվերահսկում 6 ամիսը մեկ և խորհուրդներ


Բժիշկի մասին
Արմինե Ավագյան
Մասնագիտացված է էսթետիկ և վերականգնողական ստոմատոլոգիայի ոլորտում
Ստոմատոլոգիան ինձ համար ոչ միայն մասնագիտություն է, այլ կյանքի առաքելություն։ Յուրաքանչյուր այցելու ինձ համար անհատական պատմություն ունի՝ վախերով, անհանգստություններով, երբեմն նաև ցավով։ Ես հավատում եմ, որ ճիշտ վերաբերմունքը, մասնագիտական հմտությունը և համբերությունը կարող են վերականգնել ոչ միայն առողջությունը, այլ նաև՝ ինքնավստահությունը։
Արդեն ավելի քան 20 տարի է՝ օգնում եմ իմ պացիենտներին հաղթահարել վախերը, վերականգնել առողջ ժպիտը և հավատալ՝ որ բժշկական միջամտությունը կարող է լինել հարմարավետ, անվնաս ու նույնիսկ հաճելի։
Կարդալ ավելինՄեր պացիենտները


Իմ կյանքի լավագույն ատամնաբույժը։ Միշտ ժամանակին է ընդունում, աշխատում է մաքրությամբ, բարձր մակարդակով ու ժամանակակից տեխնոլոգիաներով։ Նույնիսկ իմ երեխաներն առանց վախի են այցելում նրան։ Խորհուրդ եմ տալիս բոլորին։
— Ջուլիա

Ես շատ գոհ եմ բուժման արդյունքներից։ Բժիշկը շատ ուշադիր էր, ամեն ինչ մանրամասն բացատրում էր ու շատ նուրբ էր աշխատանքի ընթացքում։ Վախով էի գնացել, բայց դուրս եկա ժպիտով։ Շնորհակալ եմ այսքան ջերմ ու պրոֆեսիոնալ մոտեցման համար։
— Հրայր

Ընկերներիս խորհրդով եմ եկել արդեն շատ սիրելի բժշկուհու մոտ: Աշխատում է մանրակրկիտ ու որակով: Հիմա դարձել է մեր ընտանեկան ատամնաբույժը: Շնորհակալ եմ հոգատարության համար:
— Ժակլին

Մի քանի այցով հսկայական աշխատանք արվեց, որը, վստահ եմ, երկար է ծառայելու:
Սարքավորումները նոր են, մաքրությունն իդեալական, աշխատանքը՝ մանրակրկիտ:
Շնորհակալ եմ ամեն ինչի համար:







